Lompat ke konten Lompat ke sidebar Lompat ke footer

41+ Brain Tumor Classification Radiology PNG

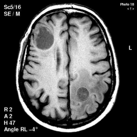
41+ Brain Tumor Classification Radiology PNG. Who brain tumour classification has been updated in 2016. Primary brain tumors are derived from brain cells and often have less mass effect for their size than you would expect, due to their infiltrative growth.

Deep semi-supervised learning for brain tumor ...
Deep semi-supervised learning for brain tumor ... from media.springernature.com
Hello sir i am pg student and doing project on an analysis of radiology reports by using svm please help me regarding my project.how to run image features and all send me the matlab code vipulsawake@gmail.com. World health organization (who) updates official classification of tumors of the central nervous system. Embryonal tumors of the brain and other organs (cerebellar medulloblastoma, adrenal neuroblastoma, occur predominantly in children.

Causes, classification & surgery procedure.

We review brain tumor radiologic studies (eg, imaging interpretation) through computational second, recent breakthroughs in deep learning with applications in radiology, such as lung nodule. The 2016 world health organization classification of tumors of the central nervous system is both a conceptual and practical advance over its 2007 predecessor. A listing of most of the tumors that occur in the brain or its surrounding structures is presented here. Primary brain tumors are typically seen in a single region, but some.

Posting Komentar untuk "41+ Brain Tumor Classification Radiology PNG"